- 20/07/2023
- by Dr. Pinak Dasgupta
- Blog
Anal fistula is a painful condition caused by an infected anal gland. In this presentation, we will explore the different types of anal fistula, their symptoms, and the various treatments available.
Overview of Anal Fistula

What is an Anal Fistula?
Anal fistula is a small tunnel that forms between the skin and the anus. It can cause pain, swelling and discharge.

Symptoms
The symptoms depend on the type of fistula but can include pain, swelling, fever, and discharge of pus and blood.

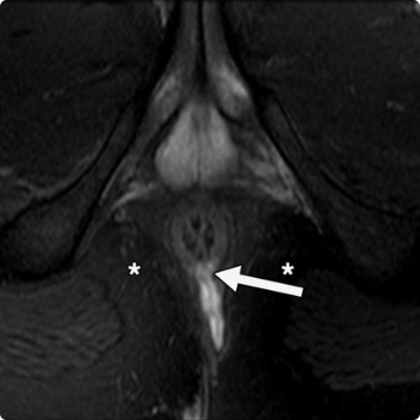
Diagnosis
Your doctor can diagnose anal fistula through a physical exam, medical history and sometimes through imaging tests.
Causes and Risk Factors
Anorectal Abscesses
Anorectal Abscesses can develop due to a bacterial infection of the anal glands.
Crohn's Disease
Crohn’s Disease can lead to inflammation and subsequent infection.
Obesity
Obesity can increase the risk of anal fistula by increasing the pressure on the anus.
Pregnancy and Childbirth
Pregnancy and child labor can put added strain on the anal muscles and increase the risk of an anal fistula.
Types of Anal Fistula
- Superficial Anal Fistula: This type of anal fistula starts in the anal gland and moves to the anus
- Intersphincteric Anal Fistula: This type of anal fistula is between the internal and external anal sphincter muscles
- Transsphincteric Anal Fistula: This type of anal fistula starts in the anal gland and passes through both anal sphincters to the skin around the anus.
- Extrasphincteric Anal Fistula: This type of anal fistula is an uncommon type that involves a tunnel outside of the anus.
Treatment Options
01
Sitz Baths and Pain Control
Warm sitz baths may help reduce discomfort. Painkillers may also be used for temporary relief.
02
Medical Treatment
Doctors may prescribe antibiotics, setons, and anal plugs to prevent additional infections and manage the fistula.
03
Surgical Options
Surgery is needed in most cases for successful treatment of anal fistula. Procedures include LIFT, fistulotomy, VAFT, LASER, flap reconstruction etc.
04
LASER Assisted Minimally Invasive Procedures
Complications of Anal Fistula
- Chronic Infections :Frequent anal fistula infections may lead to chronic pain and drainage.
- Fistula Recurrence:Fistulas may recur if they are not thoroughly treated.
- Spread of Infection: In rare cases, severe infections can cause sepsis, which can be life-threatening.
Prevention and Self-Care

Diet and Exercise
A high-fiber diet can help prevent constipation, reducing the risk of anal fistula. Exercise can help strengthen the anal muscles.

Prompt Medical Attention
Seeking prompt medical care for anorectal abscesses can reduce the risk of fistula formation.

Comfortable Seating
Avoid sitting on hard or uncomfortable surfaces for too long.

Good Hygiene
Proper cleaning of the perianal region can reduce the risk of anal fistulas and other infections in the area.


